

뼈가 부러지는 골절은 일상생활 속에서 쉽게 일어날 수 있는 사고입니다. 그런 사고를 당한는 것 만으로도 굉장한 통증을 느낄수 있을 겁니다.하지만 이런 사고는 골절로만 끝나지 않을 수도 있습니다. 그것은 바로 구획증후군이라는 질병입니다.
구획증후군이란
생소한 단어라고 생각할 수 있는 구획증후군을 알려면 일단 구획이 신체의 어느 부위에 해당되는지 이해를 해야 합니다. 구획이란 근막(결합조직의 일종)이나 뼈로 둘러싸인 신체의 공간을 말하며, 그 안에는 근육, 신경, 혈관 등을 포함하고 있습니다. 이곳은 다양한 구조를 조직하고 제자리에 위치할 수 있게 도움을 줄 수 있습니다. 예를 들어, 우리의 팔과 다리에는 근육, 신경 및 혈관의 특정 그룹을 각각 포함하는 여러 구획이 있습니다. 일반적인 상황에서는 이러한 구획 안에는 조직(근육신경, 혈관 등)을 위한 충분한 공간이 형성되어 있습니다. 하지만 이런 균형을 방해하는 상황들로 인해(부상으로 인한 부기, 깁스, 붕대로 인한 외부 압력 등)은 구획 내의 압력을 증가시킬 수 있고, 이로 인해 혈류의 이동을 방해하여 영양분과 산소가 근육과 신경에 도달하지 못하게 할 수 있습니다. 이는 즉시 치료하지 않으면 잠재적으로 근육과 신경 손상 또는 조직의 괴사로도 이어질 수 있습니다.
구획증후군의 원인
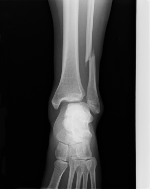
일단 구획증후군의 경우 급성과 만성의 경우로 나누어지고 있습니다. 급성의 경우 매우 응급상황이며 골절이나 충돌 부상(자동차 사고 등)과 같은 심각한 부상 후 발생하게 됩니다. 해당 사항의 경우 구획 증후군의 가장 흔한 원인 중 하나이며, 팔과 다리의 구획 내에서 출혈이나 부종을 유발하게 됩니다. 이 부종은 구획의 압력을 증가시키고 구획증후군으로 발전하게 됩니다. 또한 충돌 부상과 같은 자동차 사고나 팔다리에 무거운 물체가 떨어져서 발생하는 경우 근육과 혈관에 심각한 외상을 일으키게 되는데 이는 후속 부종과 출혈로 이어지고, 급격한 압력의 증가를 유발해 해당 질병을 유발하게 됩니다. 이외에도 화상 및 압박붕대를 사용하게 되는 경우에도 발생할 수 있습니다. 만성의 경우는 특정 근육을 반복해서 사용하는 운동선수에게서 흔히 생기게 될 수 있습니다. 또한 일반인의 경우 말아톤(달리기), 자전거 라이딩을 하는 경우에도 특정 부위에 압력이 증가하여 구획증후군을 발생시킬 수 있습니다. 이외에도 특정 약물 사용이나 감염등을 통해서도 원인이 되기도 합니다.
구획증후군의 증상
구획증후군의 증상들은 휴식이나 약물로는 완화가 잘 되지 않고, 강렬한 통증으로 다가오게 됩니다. 해당 질병에는 여러 증상들이 있는데 첫 번째로는 감각이 감소하게 되고 신경이 무감각해지는 현상입니다. 해당 증상의 경우 신경 압박으로 인해 발생하게 되고 따끔거림이나 작열감을 유발할 수 있습니다. 두 번째는 불록해지는 근육입니다. 압력이 증가함에 따라 근육이 불룩해지고 긴장된 것처럼 보일 수 있습니다. 세 번째는 해당 부위가 허약해지고 마비 증상을 느끼게 됩니다. 마지막으로 피부에 변화를 느낄 수 있습니다. 이경우 피부가 창백해지고 윤기가 나기도 하며 만지면 차가운 느낌을 받을 수 도 있습니다.
구획증후군의 치료법과 예방방법
구획증후군 증상이 오게 되면, 병원에서는 압력을 직접 측정하게 되는데 보통은 해당 부위에 바늘을 삽입하고 그 부위의 특정 임계값을 조사하여 진단하게 됩니다. 또한 영구적인 손상을 예방하기 위해 즉각적인 치료를 받게 되는데, 이는 피부와 근막을 절개하여 압력을 완화하는 근막 절개술로 치료받게 됩니다. 해당 질병의 경우 급성으로 오는 경우가 많아서 특별한 예방방법이 없습니다. 하지만 부상을 당하게 되면 즉각적인 치료를 받고, 해당 부위는 지나치게 조이는 붕대나 깁스를 피하는 등 방법을 통해 구획 증후군의 유발을 떨어 트리는 데 조금이라도 도움을 받을 수 있습니다.
위에서도 이야기했지만 구획증후군의 경우 만성보다는 급성으로 차자오는 경우가 많습니다. OECD국가 기준 대한민국은 자동차 접촉 사고율을 1위를 차지하고 있을 정도로 교통사고가 빈번하게 일어나고 있습니다. 사고의 경우 경미 할 수도 있고 심각할 수 도 있지만 그만큼 일상생활을 살아가는 대부분의 사람들은 언제든 부상당할 수 있는 환경에 놓여 있습니다. 때문에 우리는 갑작스럽게 차자 올 수 있는 구획증후군에 대해서 어느 정도 인지하고 알고 있다면 현명한 선택을 할 수 있을 것이라 생각 듭니다. 끝으로 모든 질병은 지식 만으로 판단할 수 없습니다. 때문에 해당 문제가 생기면 주저하지 않고 병원에 가셔서 검진을 받는 것이 가장 올바른 판단이라고 생각합니다.
'건강에 관한 모든것' 카테고리의 다른 글
| 자꾸 떨어지는 비듬, 지루성 피부(두피)염에 대한 증상과 예방방법 (0) | 2023.06.17 |
|---|---|
| 여름철 익히지 않은 해산물 조심, 비브리오패혈증에 대한 증상과 위험성 (0) | 2023.06.16 |
| 심근경색의 전조증상과 예방방법 (0) | 2023.06.15 |
| 뼈에 생기는 구멍 골다공증 원인과 예방방법 (0) | 2023.06.14 |
| 입냄새 별 건강상태, 관리방법 (0) | 2023.06.13 |